おいしく食べて笑顔で長生き!
2025年9月30日

こんにちは😃😃
歯科衛生士の高瀬です。
9月も今日で終わり明日から10月です。気温もだいぶ落ち着き涼しい日が続きますね。
9月は『敬老の日』がありました。敬老の日にちなんで8020運動を知っていますか?
歯科の世界では8020運動という言葉があります。これは「80歳になっても20本以上の歯を残そう」という取り組みです。歯が20本あれば、ほとんどの食べ物をしっかり噛むことができ、元気に暮らせると言われています。
よく噛めると…
・食事を楽しめる
・消化を助ける
・脳を刺激して元気でいられる
・会話や笑顔が自然に増える
このように「歯を残すこと」は、健康寿命を延ばし、人生を豊かにする大切なポイントなんです。
今からのケアで、将来のお口の健康は大きく変わります。
年齢に関わらず、日々の歯磨きと定期検診がとても大切です。☺️
実りの秋到来(๑╹ω╹๑ )
2025年9月9日

こんにちは!!歯科衛生士の近田です
ようやく朝晩の空気がひんやりしてきて、秋の足音が近づいてきました
この時期の楽しみといえば、やはり『食の恵み』
市場やスーパーには旬の味覚がずらりと並び、見ているだけで食欲をそそられます
まずは果物
みずみずしい梨や濃厚な甘さのぶどうは、今がまさに食べ頃です
冷蔵庫で冷やしておやつにすれば、暑さの残る日中にもぴったり!
さらに新潟といえば枝豆!
夏から続く人気ですが、秋口にかけては粒がふっくらとして甘みが増し、ビールや日本酒との相性は抜群です
魚も見逃せません
日本海からは秋鮭や秋刀魚が届き、塩焼きや煮付けにすればご飯が止まらなくなります
そして、食卓の主役には新米!
炊き立ての香りと艶やかなお米は、一口食べるだけで幸せを実感できます
新潟の秋は『食べる喜び』にあふれています
旬の味覚を取り入れて、心も身体も豊かに過ごしたいものですね
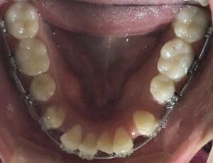
ワイヤー矯正経過⑥
2025年9月6日
こんにちは、衛生士の樋浦です!
引き続き、矯正治療の経過をお伝えできればと思います!
前回から2ヶ月ほど経って、調整をしていただき今の下の歯並びはこんな感じになります。

ワイヤー矯正中の患者様は、大体3~4週間毎に調整を行なっていきます!
私の場合、左右の犬歯が後ろの歯にくっつくまで、ゴムだけを交換して調整しています。交換したては、少し痛みますが、ゴムなのでだんだん弱くなり痛みもすぐに落ち着いていきます!
左の方は、まだまだスペースが大きいですが、右の方はだいぶ後ろに近づいてきました♪
また動きが出たらお伝えしていきます🌟